
「保育歯科ベーシックセミナー
&保育士資格・取得対策セミナー」開催日程
- 保育歯科ベーシックセミナー 5月15日(水)
- 保育歯科ベーシックセミナー 5月22日(水)
- 保育士資格取得対策セミナー 5月29日(水)
振り返り視聴で同様の内容を
じっくりと学べます!
(10月31日まで振り返り配信)
・全質疑応答まとめスプレッドシート
先生、保育士の資格を取得しませんか?
「保育士」の資格取得をすることで
歯科医師は、様々な日本の問題を解決できるようになります。
その理由を今からお伝えします。
予防歯科の推進やフッ素利用者の増加により、小児のう蝕患者が激減し、24年間で半減しています。
これは、我々、歯科医師の大きな成果です。
一方で、近年、歯列不正、構音障害、口呼吸などの問題を抱える子どもたちが増加しています。
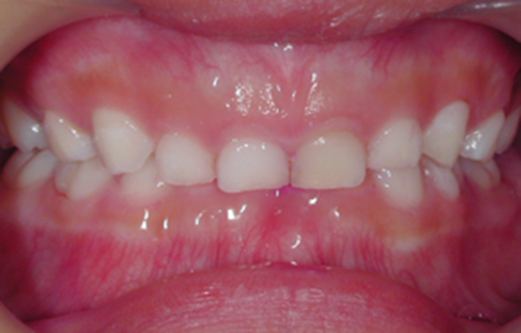
1993年小児歯科学会の調査によると、過蓋咬合は、全体の3割・・・
この状況を、私は非常に問題視しております。
なぜなら、過蓋咬合は、口腔内容積を低下させ、舌スペースを減少させ、
睡眠時の舌根沈下を引き起こす原因となるからです。
これは乳幼児突然死症候群のリスクを高める原因となっていることを
先生はご存じでしたか?
乳幼児突然死症候群は、うつ伏せ寝が原因の一つだと言われていますが
うつ伏せ寝そのものが悪いのではなく、
うつ伏せ寝がもたらす「舌の筋肉の廃用萎縮」が原因の一つです。
つまり、現在の子供は、舌の力が非常に弱く、
その結果、過蓋咬合などの歯列不正を招いています。
しかし、多くの保護者や教育関係者は、これらの問題に気づかずに過ごしてしまったり、
気づいていても、その解決策を見つけることが出来ずに小児期が過ぎてしまうことも少なくありません。
実は、こうした問題に対応すべきなのは、我々歯科医師です。
これは、早急に解決すべき歯科医師の任務です。
歯科医院でもMFTが流行りつつあり、導入する歯科医院も増えてきています。
しかし、一方で
- 子どもの発達がわからない
- MFTの訓練はわかるが子供の全身を診る力がない
- 離乳期から何が必要で、本来どのようなアプロ―チをすべきなのかわからない・・・
- 呼吸や構音障害まで診るべきだとわかっているが、学ぶ機会がない・・・
などの悩みを抱えている歯科医師が非常に多くいらっしゃるのも事実です。
歯科医師は、口の中を見るのが非常に得意です。
しかし、全身を見たり、子どもの周囲を取り巻く家庭環境や保育環境、心理的な問題まで考慮し
子どもの生活を診て、
行動変容を起こさせるための根本的な問題解決ができていない歯科医師が、
ほとんどなのです。
本来、子供の発達や保育の視点を無くしては、
本当の意味で小児の口腔機能発達不全症の解決に導くアプローチすることはできません。
小児を取り巻く様々な課題を解決し
歯科医師の壁を超えて活躍している先生がいます。
熊本県天草市にある生田歯科医院の藤原康生先生です。
藤原先生はで乳幼児を担当し
乳幼児の「言葉の問題」などの口腔機能発達不全症の小児患者様を
担当してきました。
しかし、担当して数年たった時
MFTのアプローチをしても、
- 口腔内に変化がみられない・・・
- トレーニングを家で実践してもらえない・・・
- マウスピースを指定期間装着してもらえない・・・
など、解決しきれない壁にぶつかりました。
解決策を探るなかで、保育や小児の発達を学ぶ必要性を感じ、
その結果、2017年に保育士国家資格を取得しました。
すると、保育士資格を取得したことで、
保護者や保育士の方との会話が急変し、得られる情報が急増したのです。
本当の意味での小児歯科は
歯科医師の知識や技術だけでは解決出来ず
子供の発達・成長、そして家庭環境や保育環境を把握し、
歯科医師と家族、保育者が協力して取り組む姿勢が必要です。
歯科医師が「保育士」の資格を取得するという手段は
保育歯科を実践し、子供を育むためには必要不可欠だと
身をもって実感しています。
今までのやり方では、「木を見て森を見ず」であり
根本的な解決にはなっていません。
子供を取り巻く環境は多種多様、人それぞれです。
小児歯科を取り巻く根本的な問題を解決する視点さえ身につければ
先生も口腔機能発達不全症への取り組みが表面的なものではなく
根本的な解決策を導くことができます。
その、最も明確な手段が「保育士の資格を取得する」ということです。
これまでの仕事を通して経験した歯科医院で
必要な保育知識をわずか2日間で先生が習得できるようセミナーにまとめました。
さらに、私の経験では、ただ知識を学ぶだけでは不十分で
「保育士」の資格取得に大きなメリットを感じております。
- 保育士の皆さんと同じ土俵に上がれること
- 保護者から日常生活に関わる深い相談を受けるようになり、そこに解決策があったこと
- 子供や保護者とのコミュニケーションが円滑になり、診察がスムーズに働くようになる
などです。
今からでも間に合います
2024年保育士資格取得試験後期は
令和6年10月19日(土)、20日(日)
令和6年12月8日(日)
- 忙しくて勉強する暇がない・・・
- 効率よく資格取得の勉強がしたい・・・
- 藤原康生先生のセミナーを受講したかった・・・
すでに保育士免許を取得し、保育業界で一番有名な歯科医師である藤原康生先生が
歯科医師が保育士資格試験においてつまずきやすいポイントをお伝えします。
ですから先生は、短期間で、効率よく資格取得できるのです。
先生は、1人でも多くの子どもたちを救うために、無駄な時間を過ごす時間がありません。
保育士資格を取得し、
未来の子どもたちの未来を育てる人材に
なりたい先生、ご参加お待ちしております。
- 小児患者や保護者の対応が苦手である・・・
- 連携先の保育園から子供の歯並びについて相談を受けるが上手く回答できていない・・・
- MFTを導入しているが、根本的に理解できていない・・・
- 最近、小児患者の保護者から歯列不正の相談を受ける機会が増えたが、答えられないことが多い・・・
- 保育士の資格取得に興味はあるが、勉強する時間が取れていない・・・

これらの悩みは
「保育歯科ベーシックセミナー
&保育士資格・取得対策セミナー」
で解決!
- 保育士や保護者に、子ども発達を加味した指導ができるようになり、保育士や保護者に信頼される
- 口腔機能発達不全症を歯科医院で診る理由を理解し、歯科医院に結果を出せるMFTを取り入れることが出来る
- 哺乳期と歯科との関わりを理解し、早期介入により口呼吸の子供をつくらない指導が出来る
- 保育試験の合格に向けて、最善の対策が出来る

「保育歯科ベーシックセミナー
&保育士資格・取得対策セミナー」
では
以下のようなことが学べます
- なぜ、歯科医師に保育の視点が必要なのかが理解出来る
- 歯科医師として保育士や保護者に伝えるべきポイントがわかる
- 子供の成長のゴールデンタイムを理解できる
- 哺乳期にやるべきこと、哺乳期を過ぎた子供にすべきことの違いがわかる
- なぜ、過蓋咬合や叢生を予防する必要があるのか理解できる
- 過蓋咬合が子どもの健康に及ぼす影響、口腔容積の低下、機能性反対咬合のリスク、構音障害などの問題点がわかる
- 切端咬合の重要性、舌スペースの減少が引き起こす問題、睡眠時の舌根沈下のリスクについてわかる
- なぜ、口呼吸ではなく鼻呼吸が良いのか
- 歯科で出来る噛む食育とは何かがわかる
- 保育士資格が楽に取れるようになる

「保育歯科ベーシックセミナー
&保育士資格・取得対策セミナー」
日程・セミナーテーマ
講師紹介
生田歯科医院 院長・保育士
藤原 康生 先生
2000年 九州歯科大学卒業
2006年 介護支援専門員資格取得
2006年 生田歯科医院入社
2017年 保育士国家資格取得
2020年 生田歯科医院院長
歯科医師・保育士・介護支援専門員
熊本県保育協議会食育アドバイザー
日本摂食支援協会 評議員・指導医
顎顔面機能咬合研究会 指導医
チャイルデント養成講座 指導医
「保育歯科ベーシックセミナー
&保育士資格・取得対策セミナー」
開催日程
- 保育歯科ベーシックセミナー 5月15日(水)
- 保育歯科ベーシックセミナー 5月22日(水)
- 保育士資格取得対策セミナー 5月29日(水)
振り返り視聴で同様の内容をじっくりと学べます!
(10月31日まで振り返り配信)
・全質疑応答まとめスプレッドシート
受講費用・お申込み
振り返り視聴で同様の内容を
じっくりと学べます!
- タイトル
- 「保育歯科ベーシックセミナー&保育士資格・取得対策セミナー」
- セミナー形式
- Zoomを使用したオンラインセミナー
- 開催日時
-
2024年
5月15日(水) 5月22日(水) 5月29日(水)
各回 20:00~22:00 - 講師
-
一般社団法人 保育歯科協会
生田歯科医院 院長・保育士
藤原 康生 先生
- 参加費用
-
参加費用50,000円
→ 今回、初開催につき、39,800円(税込) - 特典
-
・振り返り配信(2024年10月31日まで)
・事後スライドpdf
・全質疑応答まとめスプレッドシート
- 返金保証
- もしセミナーに参加されて、内容にご満足されたない場合は、初回のセミナー後2日以内に、childcare.and.dental@gmail.comまでメールをして下さい。理由の如何を問わず、ご返金させて頂きます。
- 主催
-
一般社団法人 保育歯科協会
メールアドレス childcare.and.dental@gmail.com
保育分野を深く学び、子どもたちの生涯にわたる健康と幸福に
大きな影響を与える力があると確信しています。
私たち歯科医師は、歯列不正や口腔の問題を見過ごすことはできません。
これらの問題には、早急に介入し、適切なケアと支援を提供することが必要です。
放置すれば、口腔内の問題だけでなく、将来の全身の健康にも深刻な影響を及ぼす可能性があります。
私の目標は、自分の知識と経験を共有し、
全都道府県に最低一名の同様に訓練された歯科医師を配置することです。
先生と共に、一人でも多くの小児患者を支援し、
歯科医師が力を合わせて子どもたちの未来を守る社会を築くことが私の願いです。
このセミナーは、その変化をもたらすための第一歩になります。
情熱を持って保育歯科の世界へ飛び込んでください。
先生の参加が、未来世代の健康な笑顔を守る鍵となります。
歯科医師、そして保育士として、子どもたちの人生にポジティブな影響を与える旅を一緒に始めましょう。
先生と共に、子どもたちの明るい未来を築くことを心から楽しみにしています。

振り返り視聴で同様の内容を
じっくりと学べます!